
el país de la soledad
[EN] The Country Of Loneliness
un estudio personal sobre la soledad, la vulnerabilidad y la vergÜenza
[EN] A personal study of loneliness, vulnerability and shame.
La soledad no elegida, su relacIón con la salud mental y emocional a nivel político (cómo experimentamos el padecimiento entendiendo partes de su historia y contexto actual).
La importancia de autoanalizar las prácticas individuales y relacionales (Por qué es importante politizar los afectos.)
Soledad ética (hiper-individualización, el silencio y la soledad moral).
La salud mental y la naturaleza.
La estética y la acción social.
Exploraciones estéticas: desde la ciencia, técnicas de distanciamiento en la imagen).
[EN] Unchosen loneliness, its relationship with mental and emotional health at a political level (how we experience the condition by understanding parts of its history and current context).
The importance of self-analyzing individual and relational practices (Why it is important to politicize affects.)
Ethical loneliness (hyper-individualization, silence and moral loneliness).
Mental health and nature.Aesthetics and social action.
Aesthetic explorations: from science, distancing techniques in the image).

Mi propuesta es la continuación de un proyecto existente que tiene como objetivo conformarse de 3 proyectos fotográficos resultado de exploraciones en torno a la salud mental y emocional.
El primer proyecto que lo conforma nació de lo privado y va de la pulsión creativa desde la enfermedad mental y mi propio trastorno depresivo, una reflexión que nace del vínculo con mi tío con esquizofrenia con quien viví 15 años.
El segundo tuvo como objetivo realizar una exposición crítica de la manera pública de atender trastornos como la depresión, al observar campañas anti suicidas implementadas en los transportes públicos de ciudades en América, Europa y Asia que “evitan” que las personas salten a los rieles. Al resultar que dichos suicidios son protagonizados mayormente por hombres, realizo un cruce temático del posible vínculo entre la salud mental / emocional masculina con el machismo y la violencia mundial de la que son protagonistas; así como la violencia contra las mujeres y contra ellos mismos.
El tercero es una exploración de la soledad contemporánea no elegida como problema político, que pretendo explorar desde las violencias sociales y económicas del sistema capitalista:
El proyecto se divide en ensayos y el que propongo para la presente convocatoria es El silencio desde la soledad híper individualizada, donde pretendo abordar de manera amplia y desde la soledad no elegida, conceptos como la otredad y la manera de ver al otro como un recurso (económico y/o afectivo) más que como un igual.
Creo que la visión utilitaria del otro, es una violencia que se implementa en el orden global, político y socioeconómico (como en los conflictos bélicos, en donde el otro representa el recurso al que explotar, eliminar, reemplazar), hasta en las dinámicas sociales más privadas (por ejemplo, con roles de género, que promueve la castración emocional masculina y se le subordina a los mujeres regalándoles a los cuidados afectivos), observo un discurso social donde el éxito tiene que ver con modelos de vida benéficos para la acumulación de capital, productividad e individualidad, dejando de lado la estabilidad mental, lo afectivo y comunitario. Impera la sensación de lejanía y disminución de la empatía hacia el otro y silencio ante su dolor, pues el otro más bien representa competencia o un elemento a quien subordinar, considero que esto ocasiona una profunda soledad humana que llega a afectar incluso su sentido moral.
Países como UK y Japón han creado Ministerios de la soledad, desde ese hecho nació mi interés por explorar la soledad no deseada como punto de partida para expresar que considero imprescindible abordar el tema de la salud mental, afectivo y relacional ya no solo desde lo privado, sino desde lo político. Entender las violencias que vivimos (algunas que ni siquiera sabemos reconocer), es vital nombrar el dolor humano y el impacto emocional y psicológico que causa el sistema actual para crear los espacios necesarios de resistencia y cambio.
Recalcar que si estoy haciendo uso de referencias científicas (que pudieran ser recursos rígidos y jerárquicos), es un gesto de hacer un equilibrio personal, en el que tengo acceso al conocimiento, y lo vinculo con la importancia de lo emocional.
[EN] My proposal is the continuation of an existing project that aims to consist of 3 photographic projects resulting from explorations around mental and emotional health.
The first project that comprises it was born from the private and is about the creative drive from mental illness and my own depressive disorder, a reflection that was born from the bond with my uncle with schizophrenia with whom I lived for 15 years.
The second aimed to make a critical presentation of the public way of treating disorders such as depression, by observing anti-suicide campaigns implemented in public transport in cities in America, Europe and Asia that “prevent” people from jumping onto the rails. As it turns out that these suicides are carried out mainly by men, I make a thematic intersection of the possible link between men's mental/emotional health with machismo and the global violence of which they are protagonists; as well as violence against women and against themselves.
My proposal is the continuation of an existing project that aims to consist of 3 photographic projects resulting from explorations around mental and emotional health.
The first project that understands it was born from the private and is about the creative drive from mental illness and my own depressive disorder, a reflection that was born from the bond with my uncle with schizophrenia with whom I lived for 15 years.
The second aimed to make a critical presentation of the public way of treating disorders such as depression, by observing anti-suicide campaigns implemented in public transport in cities in America, Europe and Asia that “prevent” people from jumping onto the rails. As it turns out that these suicides are carried out mainly by men, I make a thematic intersection of the possible link between men's mental/emotional health with machismo and the global violence of which they are protagonists; as well as violence against women and against themselves.
La exploración artística:
La exploración artística:
La exploración artística:
He observado que el tema de la salud mental y emocional históricamente se ha prestado a lecturas melancólicas, románticas e incluso estigmatizadas. No deseo reproducir estereotipos, clichés o imágenes que únicamente apelen a la empatía o al disfrute estético del lector visual.
Propongo abordar una exploración estética que procure ser consciente, en la que se ocupe según sus necesidades de la documentación fotográfica tradicional y la ficción, del lenguaje fotográfico así como de las artes visuales en general, pues en mi quehacer artístico, me ha resultado ser el campo más fértil para accionar.
En torno al tema propuesto, he considerado traducir a fotografías al trabajo de autores como el dramaturgo Bertolt Bercht y sus técnicas del distanciamiento, de reciclaje de imágenes, que tenían como objetivo promover la reflexión colectiva.
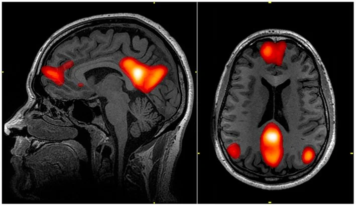
De igual manera considero interesantes el estudio y reinterpretación de imágenes científicas en donde se analizan los efectos neuronales, por ejemplo, en el cerebro de personas que se sienten inmersos en profunda soledad. Creo que la objetividad que da este material, es un aporte interesante que podría nutrir la propuesta, y de una manera más poética refleja mi posición hacia la necesidad de equilibrar nuestra individualidad, (que tiene que ver con el desarrollo tecnológico, rigor científico, la producción y la construcción del yo, etc.), con lo relacional y afectivo (que es la naturaleza y motivación del presente proyecto).
[EN] Likewise, I consider interesting the study and reinterpretation of scientific images where the neuronal effects are analyzed, for example, in the brains of people who feel immersed in deep loneliness. I think that the objectivity that this material provides is an interesting contribution that could nourish the proposal, and in a more poetic way it reflects my position towards the need to balance our individuality, (which has to do with technological development, scientific rigor, production and the construction of the self, etc.), with the relational and affective (which is the nature and motivation of the present project).
La luz hace visible el polvo:
Paso 1. Pon atención a la expresiones de soledad en una plataforma digital.
Paso 2. imprime, quema y fotografía las cenizas de dichos textos.
[en] ***Light makes dust visible***:
Step 1. Pay attention to expressions of loneliness on a digital platform.
Step 2. Print, burn and photograph the ashes of said texts.
el mono
ansioso
Me interesa el elemento del MONO, como uso irónico (y de resistencia al reconcerse vulnerable al deterioro mental y malestar emocional ante el sistema).
A principios del siglo XX, la ciencia estudiaba monos que parecían humanos y visceversa, se teorizaba y justificaba la animalización de los pueblos indígenas colonizados, y e incluso exhibidos en zoológicos humanos.
Lo que me interesa de estos hechos, es que los colonizadores europeos definen lo “humano” a partir de afirmar una inferioridad en las culturas indígenas (justificando su subordinación/exterminio) con las siguientes características:
Indígena:
Reservado
Receloso
Disimulado
Rencoroso
Incapaz de expresar sentimientos
Ebrio
Indolente
Haragán
Melancólico, lo que lo hace improductivo. inútil.
Hombre colonizador
Cultura
Humanidad
Razonable
Trabajador
De heridas narcisistas (Darwin, Otto Kernberg), comparación aparentemente “de ofensa” con el mono, porque el hombre mono es menos evolucionado, es flojo, rebelde y melancólico.
Desde este esquema, hablamos de los trastornos mentales y emocionales “corresponden” a personas incivilizadas, no productivas, negativas.
[EN]I am interested in the element of the MONKEY, as an ironic use (and of resistance when recognizing oneself as vulnerable to mental deterioration and emotional discomfort in the face of the system).
At the beginning of the 20th century, science studied monkeys that looked human and vice versa, the animalization of colonized indigenous peoples was theorized and justified, and even exhibited in human zoos.
What interests me about these facts is that European colonizers define “human” by affirming an inferiority in indigenous cultures (justifying their subordination/extermination) with the following characteristics:
Indigenous:
Reserved
Suspicious
Sneaky
Rancorous
Unable to express feelings
Drunk
Indolent
Sluggard
Melancholic, which makes it unproductive. useless.
colonizing man
Culture
Humanity
Reasonable
Worker
Of narcissistic wounds (Darwin, Otto Kernberg), apparently “offensive” comparison with the ape, because the ape man is less evolved, he is lazy, rebellious and melancholic.
From this scheme, we talk about mental and emotional disorders “corresponding” to uncivilized, non-productive, negative people.